Skip to Content

Posts sorted by Graduate Studies

Grad Student Research: Innovative Technology That Drives Itself

Grad Stories 2021: Aerospace Engineering PhD Grad Shoots for the Stars

Off-Grid Living: Architecture Grad Student Transforming 50-Year-Old Sailboat to Tiny Home on Water

Fall Convocation: The Fabric of Business

Carleton Alumni Soar Into Out of This World Tech Careers

Great Grads 2021: Exploring Sustainability in the Scottish Highlands

Carleton Students Find Career Success After Working on Parliament Hill Rehabilitation Project

A Match for Success: Engineering Mentor and Mentee Share their Story

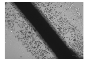
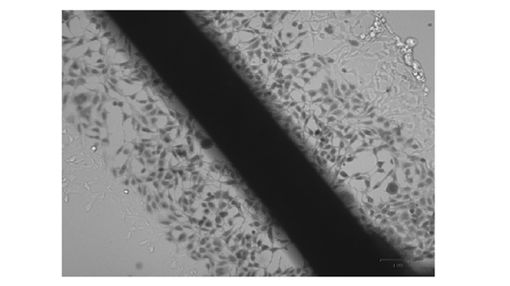
Grad Research: Cancer Can’t Stand the Heat

Professors Onita Basu and Rob Teather Win Graduate Mentoring Awards

Grad Research: Enhancing Film Visual Effects

Grad Research: A Faster Way to Transmit and Process Light

Page 5 of 8